Μια νέα επιστημονική μελέτη υποστηρίζει ότι τα υπερεπεξεργασμένα τρόφιμα μπορεί να συνδέονται με τη συσσώρευση λίπους μέσα στους μύες των ποδιών, μια εικόνα που σε απεικονίσεις μαγνητικής τομογραφίας θυμίζει έντονα υψηλής ποιότητας μπριζόλα.
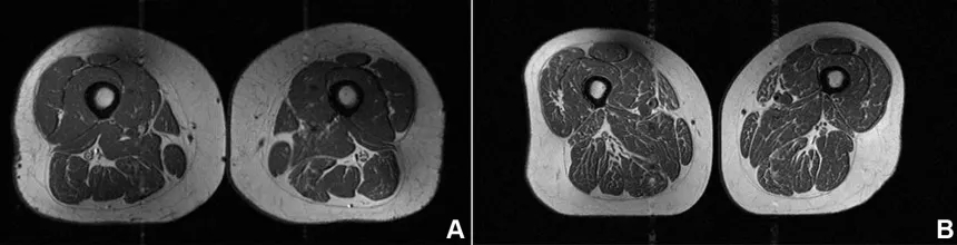
Η εικόνα που εξετάζουν οι ερευνητές δεν είναι ωστόσο φαγητό. Πρόκειται για μαγνητική τομογραφία (MRI) του μηρού μιας 62χρονης γυναίκας, η οποία αντλούσε το 87% των ετήσιων θερμίδων της από υπερεπεξεργασμένα τρόφιμα.

«Αυτός ο συμμετέχων είχε διατροφή που αποτελούνταν κυρίως από δημητριακά πρωινού, σοκολάτες ή μπάρες καραμέλας, αναψυκτικά ή εμφιαλωμένα ζαχαρούχα ποτά», ανέφερε η δρ. Zehra Akkaya, ερευνήτρια στο Πανεπιστήμιο της Καλιφόρνια και μέλος της ομάδας Clinical and Translational Musculoskeletal Imaging Research.
Η Akkaya είναι η βασική συγγραφέας της νέας μελέτης που εξετάζει πώς τα υπερεπεξεργασμένα τρόφιμα επηρεάζουν τη σύσταση λίπους εντός των μυών (intramuscular fat) σε άτομα με κίνδυνο για οστεοαρθρίτιδα γόνατος. Όπως σημείωσε, τα «κρυφά στρώματα λίπους ανάμεσα και μέσα στις μυϊκές ίνες» μπορεί να αποτελούν ένδειξη σοβαρών προβλημάτων υγείας.
Η «σιωπηλή» λιπώδης διήθηση των μυών και οι επιπτώσεις στο γόνατο
Τα υπερεπεξεργασμένα τρόφιμα έχουν ήδη συνδεθεί με αύξηση βάρους, παχυσαρκία και χρόνιες παθήσεις, όπως καρκίνος, καρδιαγγειακές νόσοι, διαβήτης τύπου 2 και κατάθλιψη, ενώ ενδέχεται να συντομεύουν και το προσδόκιμο ζωής.
Σύμφωνα με τα Κέντρα Ελέγχου και Πρόληψης Νοσημάτων των ΗΠΑ (CDC), πάνω από το 50% των θερμίδων των ενηλίκων στις ΗΠΑ προέρχεται από υπερεπεξεργασμένα τρόφιμα, ενώ στα παιδιά το ποσοστό φτάνει το 62%.
Στη μελέτη, μια δεύτερη γυναίκα 61 ετών εμφάνισε επίσης λιπώδη διήθηση στους μηρούς, αλλά σε μικρότερο βαθμό, με το 29% της διατροφής της να προέρχεται από υπερεπεξεργασμένα τρόφιμα.
«Ήταν ιδιαίτερα ανησυχητικό, επειδή αυτά τα άτομα, τα οποία εξετάστηκαν τη στιγμή που δεν είχαν σημάδια οστεοαρθρίτιδας γόνατος, ήδη εμφάνιζαν μειωμένη ποιότητα μυών», δήλωσε η Akkaya.
Η σύνδεση μεταξύ λιπώδους ιστού στους μύες και πόνου στο γόνατο είναι σημαντική, καθώς τα λιποκύτταρα εμποδίζουν την ανάπτυξη και αναγέννηση των μυϊκών ινών. Αυτό οδηγεί σε εξασθένιση των μυών, η οποία αποτελεί βασικό παράγοντα για την οστεοαρθρίτιδα γόνατος, τη συχνότερη μορφή εκφυλιστικής νόσου των αρθρώσεων που επηρεάζει περίπου 375 εκατομμύρια ανθρώπους παγκοσμίως.
«Οι μύες του μηρού είναι κρίσιμοι για τη σταθερότητα του γόνατος και οποιαδήποτε απώλεια δύναμης ή τόνου αυξάνει τη μηχανική καταπόνηση στην άρθρωση», εξήγησε η Akkaya.

«Συστηματική διαδικασία» που δεν περιορίζεται στους μηρούς
Η ακτινολόγος δρ. Miriam Bredella, διευθύντρια του Clinical and Translational Science Institute στο NYU Langone Health, η οποία δεν συμμετείχε στη μελέτη, σημείωσε ότι η παρουσία λίπους στους μύες των μηρών πιθανότατα αντανακλά μια ευρύτερη κατάσταση.
«Είναι μια συστηματική διαδικασία, δεν περιορίζεται στον μηρό. Μπορεί να φανεί και στις γάμπες, στους ώμους και στην κοιλιακή χώρα», ανέφερε.
Η μειωμένη ποιότητα μυών, πρόσθεσε, αποτελεί δείκτη μελλοντικών προβλημάτων υγείας: «Αν βρίσκεσαι στο νοσοκομείο, η μυϊκή αδυναμία αυξάνει τη διάρκεια νοσηλείας. Αν χειρουργηθείς, προβλέπει χειρότερα αποτελέσματα. Σε ασθενείς με καρκίνο αυξάνει τις επιπλοκές και την υποτροπή».
Τα υπερεπεξεργασμένα τρόφιμα ως αιτία; Τι δείχνει η μελέτη
Η μελέτη, που δημοσιεύτηκε την Τρίτη στο επιστημονικό περιοδικό Radiology, ανέλυσε μαγνητικές τομογραφίες από 615 συμμετέχοντες της Osteoarthritis Initiative, μιας εθνικής μελέτης στις ΗΠΑ για την πρόληψη και αντιμετώπιση της οστεοαρθρίτιδας γόνατος. Κανένας από τους συμμετέχοντες δεν είχε σημάδια της νόσου κατά την εξέταση.
Ο μέσος όρος ηλικίας ήταν 60 ετών και ο μέσος δείκτης μάζας σώματος (BMI) ήταν 27.
Η κατηγοριοποίηση BMI που χρησιμοποιήθηκε αναφέρει ότι 25–29,9 αντιστοιχεί σε υπέρβαρο, 30–34,9 σε παχυσαρκία, 35–39,9 σε παχυσαρκία κατηγορίας 2 και άνω του 40 σε σοβαρή παχυσαρκία.
Η γυναίκα με 87,1% υπερεπεξεργασμένα τρόφιμα στη διατροφή της (A στην εικόνα παρακάτω) είχε BMI 32,6 και χαμηλότερη φυσική δραστηριότητα από τη δεύτερη γυναίκα (B στην εικόνα), η οποία είχε BMI 31,8 και 29,5% υπερεπεξεργασμένα τρόφιμα. Παρ’ όλα αυτά, η πρώτη εμφάνιζε πολύ πιο έντονη λιπώδη διήθηση στους μηρούς.

Σύμφωνα με τον επικεφαλής της μελέτης δρ. Thomas Link, καθηγητή στο UCSF Department of Radiology and Biomedical Imaging, η συνολική θερμιδική πρόσληψη δεν φάνηκε να επηρεάζει το αποτέλεσμα.
«Σε όλη τη μελέτη, όσο περισσότερα υπερεπεξεργασμένα τρόφιμα κατανάλωνε κάποιος, τόσο περισσότερη ενδομυϊκή λιπώδης διήθηση είχε, ανεξάρτητα από τις θερμίδες», ανέφερε.
Ωστόσο, οι ερευνητές τονίζουν ότι η μελέτη δεν αποδεικνύει αιτιώδη σχέση, αλλά μια ισχυρή συσχέτιση.
Άσκηση, διατροφή και αναστροφή της μυϊκής επιβάρυνσης
«Δεν γνωρίζουμε πόσο χρόνο χρειάζεται η κατανάλωση υπερεπεξεργασμένων τροφίμων για να προκληθεί αυτή η αλλαγή στους μύες. Αν σταματήσεις να τα καταναλώνεις, μπορεί να αντιστραφεί;» διερωτήθηκε η Bredella.
Πρόσθεσε πάντως ότι η άσκηση και η υγιεινή διατροφή μπορούν να βελτιώσουν τη μυϊκή ποιότητα: «Είναι πιο εύκολο σε νεότερους ανθρώπους, αλλά γίνεται».
Ο Link σημείωσε ότι δεν συνιστώνται αθλήματα υψηλής πρόσκρουσης όπως μπάσκετ ή τένις λόγω επιβάρυνσης στο γόνατο. Αντίθετα, προτείνονται ασκήσεις χαμηλής έντασης και ενδυνάμωσης όπως καθίσματα στον τοίχο, step-ups, ανυψώσεις ποδιών, καθώς και χρήση ελλειπτικού.
«Το ελλειπτικό είναι ιδιαίτερα ωφέλιμο, ίσως περισσότερο από άλλες μορφές χαμηλής έντασης άσκησης. Και φυσικά η προπόνηση με βάρη είναι πολύ χρήσιμη», είπε.
Η Bredella τόνισε ότι η καλύτερη επιλογή παραμένει μια ισορροπημένη διατροφή με «πραγματικά τρόφιμα».
«Οι μύες χρειάζονται επαρκή πρωτεΐνη, αλλά τα επεξεργασμένα protein bars και τα συμπληρώματα δεν είναι η λύση», είπε, προσθέτοντας ότι πολλά από αυτά περιέχουν υψηλές ποσότητες ζάχαρης.
Πρότεινε επίσης πρακτικούς τρόπους μείωσης των υπερεπεξεργασμένων τροφίμων: προτίμηση σε λιγότερο επεξεργασμένα προϊόντα, αύξηση κατανάλωσης ολόκληρων τροφών όπως λαχανικά, όσπρια και φρούτα, αποφυγή ζαχαρούχων ποτών και επιλογή τοπικών εστιατορίων αντί fast food, καθώς είναι λιγότερο πιθανό να χρησιμοποιούν υπερεπεξεργασμένα υλικά.
Πηγή: CNN

